
Lượng curcumin từ nghệ được khuyến cáo tối đa 3 mg trên một kg cân nặng người dùng, tương đương 5 g bột nghệ với người 50 kg.

Nhiều người có thói quen ăn uống thực phẩm ở nhiệt độ cao, tuy nhiên thói quen này tiềm ẩn nhiều nguy cơ mắc ung thư, đặc biệt là ung thư thực quản và ung thư dạ dày.

Sau khi ăn sá sùng – một loại hải sản biển, nam thanh niên đột nhiên bị sốc phản vệ do dị ứng, tình trạng vô cùng nguy kịch.

10 người đã mô tả lại trải nghiệm cận kề cái chết vô cùng sinh động, có người nhìn thấy người thân đã chết vẫy gọi, người khác cảm thấy linh hồn như bị hút ra khỏi cơ thể.

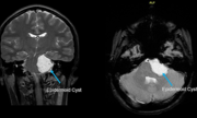
Người phụ nữ 52 tuổi ở miền Tây bị đau đầu liên tục, mỗi lần như vậy bà mua thuốc uống và thuyên giảm. Đến lúc nhập viện thì bác sĩ phát hiện có "kẻ" khổng lồ trong não người phụ nữ này.

Khi đang hút thuốc lá điện tử, không may điếu thuốc phát nổ khiến cậu bé 17 tuổi bị gãy đôi xương hàm, bay mất răng và mồm không thể khép lại.