
5 sai lầm dưới đây là lý do bạn không thể thoát gầy dù đã cố gắng ăn rất nhiều…

Trẻ lười ăn hoặc bỏ ăn luôn khiến cho các bậc phụ huynh căng thẳng, lo lắng và sốt sắng tìm mọi cách để ép con phải ăn, trong đó có cách dùng các đồ chơi công nghệ như ipad, điện thoại... Tuy nhiên, các chuyên gia khuyến cáo đó không phải là cách làm ...

Đỏ mắt là biểu hiện phổ biến của nhiều vấn đề khác nhau nhưng đa phần là chỉ dấu của các bệnh về mắt, từ lành tính đến nghiêm trọng.

Nhiều bà mẹ có thói quen ăn nốt những gì còn lại sau bữa ăn của con. Nhưng các chuyên gia cảnh báo phụ nữ mang thai cần tránh điều này vì nó có thể truyền một loại vi-rút “tàng hình” cho đứa con trong bụng.

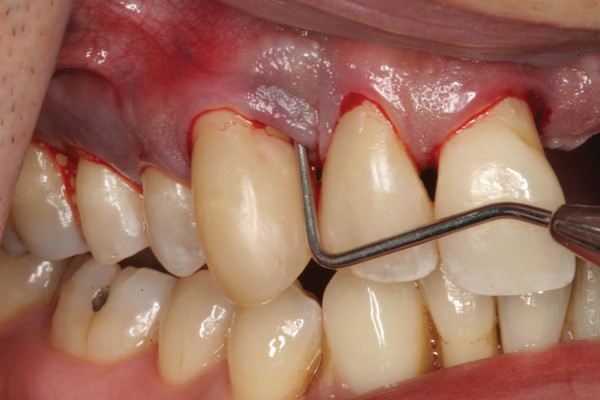
Ths.BS Nguyễn Anh Ngọc - 1 trong 2 thủ khoa ngành Nha khoa năm 2013 tại Đại học Tổng hợp Hamburg, Đức chia sẻ, nhiều người phàn nàn với bác sĩ thấy răng ngày càng dài, rồi buốt mà không hiểu vì sao. Trong khi đó, những dấu hiệu gặp hàng ngày, đơn giản nhất ...

Caffeine thâm nhập vào máu khiến nhịp tim, huyết áp tăng cao, bạn sẽ thấy tỉnh táo, tập trung và thị lực rõ hơn nhờ đồng tử giãn nở nhẹ.