
Theo công bố mới nhất của WHO, số ca mắc mới ung thư của Việt Nam năm 2018 đã tăng lên 165.000 ca.

Phẫu thuật laser bề mặt, Lasik, Femto Lasik, Smile hay nội nhãn là những phương pháp can thiệp giác mạc giúp người cận thị không cần đeo kính.

Muốn có con trai, chị Kiều Oanh ở TP HCM sử dụng một loại dung dịch gel bơm vào âm đạo được quảng cáo giúp sinh con theo ý muốn.

Ma túy thế hệ mới với độ mạnh gấp hàng trăm lần so với ma túy tinh khiết, dùng liều cao có thể gây ảo giác kéo dài vài ngày.

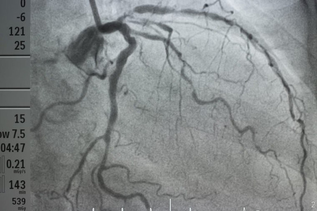
Những dấu hiệu đáng ngạc nhiên của tình trạng tắc động mạch và bệnh tim.

Ai cũng phải công nhận rằng, gói gia vị làm nên cái ngon và hương vị đặc trưng của mì ăn liền. Thế nhưng không ít người vẫn hoài nghi và thắc mắc không biết những gói gia vị này có thật sự an toàn và được sản xuất như thế nào?